Rus doktorlar, 80 yaşındaki bir kadının hayatı boyunca beyninde saklanan bir iğneyi bularak dikkat çekici bir hayatta kalma hikayesiyle karşılaştılar. İğne, beceriksizce yapılan bir bebek cinayetinin sonucu gibi görünüyor, ancak görünene göre büyük bir sağlık sorununa yol açmadı ve yerinden çıkarılmayacak.
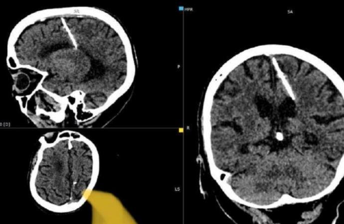
Bu tuhaf vaka, bu ayın başlarında Rusya’nın uzak doğu bölgesinin açıklarındaki uzak bir ada olan Sakhalin’deki yerel sağlık yetkilileri tarafından bildirildi. Doktorlar, bu iğne ile ilgisi olmayan bir CT taraması sırasında kadının beyninde 3 santimetrelik iğneyi keşfettiği bildirildi. İğnenin görüntüleri sağlık bakanlığının Telegram sayfasında paylaşıldı.

Sağlık bakanlığının belirttiğine göre iğne muhtemelen 1943’teki doğumundan hemen sonra kızın ebeveynleri tarafından batırılmıştı. Trajik bir şekilde, 2. Dünya Savaşı’ndan etkilenen bölgelerde yiyecek kıtlığıyla karşı karşıya kalan aileler, bazen özellikle bu yöntemi kullanarak bebeklerini öldürmeyi seçiyordu. İğne beynin fontaneline (bebeğin başındaki yumuşak nokta – bıngıldak) batırılıyordu ve bu delik daha sonra hızla kapanarak eyleme dair her türlü kanıtı ortadan kaldırıyordu. Yerel sağlık departmanı yaptığı açıklamada, “Yıllar süren kıtlık sırasında bu tür vakalar nadir değildi” dedi.
Şaşırtıcı bir şekilde, parietal lobuna yerleştirilen iğneye rağmen kadın hayatta kaldı. Dahası, yaralanma sonucu ciddi sağlık sorunları yaşamamış, hatta baş ağrıları bile yaşamamış gibi görünüyor. Ve şu anda herhangi bir tehlikede olduğu düşünülmüyor. Sağlık bakanlığının açıklamasına göre, iğneyi çıkarmaya çalışmanın kadına gerçekten zarar verebileceği ihtimalini göz önüne alarak, ilgili doktor kadının durumunu izlemeye karar verdi.
Beynin bazen yaralanmanın yeri ve türüne bağlı olarak fiziksel hasara karşı inanılmaz derecede dirençli olabildiği biliniyor. Bazı durumlarda, insanlar beyinlerinin bir yarımküresinin tamamını kaybetmelerine rağmen nispeten iyi bir şekilde yaşamlarına devam edebiliyor. Beyin özellikle yaşamın erken dönemlerinde yeni bağlantılar kurma ve yeniden bağlantı kurma yeteneğine sahip olduğundan dolayı, bu yaralanmaları çok genç yaşta geçiren kişilerin birkaç komplikasyonla hayatta kalma olasılıkları daha yüksek olabilir.

